
名古屋市千種区吹上の歯医者
余語歯科 矯正歯科 小児矯正とは
小児矯正とは、顎の成長や歯の生え変わりが進行する子どもの時期に行う矯正治療のことです。一般的に6歳頃から12歳頃までを対象とし、歯並びの見た目だけでなく、「咬む」「話す」「呼吸する」といった口の機能を正しく育てることを目的としています。
子どもの骨はまだ柔らかく、成長途中にあるため、大人になってからの矯正よりも少ない力で効果的に改善できるのが特徴です。
この時期に矯正を行うことで、将来的に抜歯が必要になるリスクを減らしたり、本格矯正の負担を軽くしたりすることができます。
このようなお悩みは
ありませんか?前歯の重なりが目立ってきた
咬み合わせが深く下の歯が隠れてしまう
指しゃぶりの習慣が長く続いている
ぽかんと口が開いていることが多い
永久歯がきれいに並ぶか心配
これらは、将来的な歯並びや咬み合わせに影響する可能性があります。余語歯科 矯正歯科では、6歳〜10歳頃のタイミングで始める予防的な矯正を重視しています。早期の介入により、将来の抜歯リスクを減らし、本格矯正の負担を少なくすることを目指しています。

名古屋市千種区吹上の歯医者
余語歯科 矯正歯科 小児期から始める
矯正の重要性と段階的な治療
小児期は、骨や体が発育途中にあり、少ない力でも効果的に歯や顎の成長を導ける時期です。
また、正しい口腔環境を育てるには、歯並びだけでなく、食事のとり方や姿勢、舌の使い方、呼吸などの生活習慣も深く関係します。乳幼児期や学童期に本来身につけるべき機能が十分に発達していない場合、顎の成長不足や舌の位置の異常が起こりやすくなります。こうした機能面のサポートも含めて、成長期に矯正治療を行うことが重要です。
名古屋市千種区吹上の歯医者 余語歯科 矯正歯科では、矯正治療を「準備矯正」と「本格矯正」に分けて行っています。乳歯と永久歯が混在する時期に行う「準備矯正(I期矯正)」では、顎の成長を整え、永久歯がきれいに並ぶための土台づくりを行います。
永久歯がすべて生えそろう中学生頃から行う「本格矯正(II期矯正)」では、ブラケットとワイヤーによるフルパッシブ矯正を採用し、機能的な歯並びを目指します。当院では、準備矯正で終わらせるのではなく、必要に応じて本格矯正の段階までしっかりと伴走し、患者さま一人ひとりがより良い咬み合わせに到達できるようサポートしています。もちろん、症状が軽度で準備矯正だけで十分な結果が得られた場合は、その段階で治療を完結することもあります。
小児矯正の始めるタイミング
開始の時期は一律に決められるものではありませんが、親御さまが少しでもお口の状態に不安を感じたときは、早めに歯科医院を受診することをおすすめします。たとえば下顎が前に出る「反対咬合」は、できるだけ早期に対応することが望ましい症例です。たとえ現時点で問題が見られなくても、予防の観点から歯磨き指導を受けたり、将来的なリスクを歯科医師の目で確認してもらったりすることには大きな意味があります。特に、怖がりなお子さまや甘えん坊のお子さまであれば、早いうちから歯科医院の雰囲気に慣れておくことが大切です。
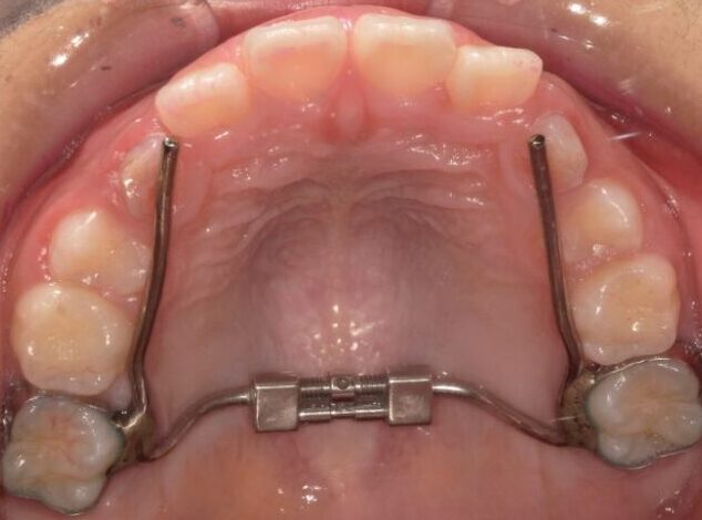
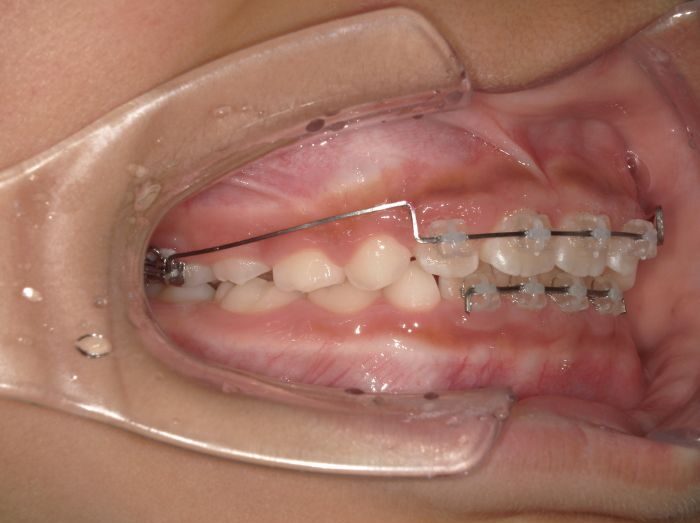
乳歯が残る6~7歳のお子さまには、先にお話しした準備矯正を行います。歯並びを整えるためというより、永久歯がきちんと並ぶための土台である顎をしっかり成長させるために、顎の大きさや位置を調整することをめざす床矯正を行います。その後「2×4(ツーバイフォー)」といって、永久歯が上下の前歯に4本ずつ、奥の上下に2本ずつ、計12本が生えた状態のときにその永久歯にブラケット装置をつける矯正治療を行います。
これが当院の最も多い準備矯正のパターンです。もちろん、人によって大事な点は変わりますので、他の治療を行うこともあります。期間は、床矯正と「2×4」を合計して1年から1年半ほどになります。その後、永久歯が生えそろえば、本格矯正が必要かどうかの再検査・再診断を行います。ここまでが準備矯正に含まれております。

床矯正
(しょうきょうせい)顎の幅や大きさをコントロールするために使用する、取り外し式の装置です。歯を直接大きく動かすのではなく、顎の骨を少しずつ広げることで、永久歯が並ぶスペースを確保します。

固定式拡大装置
顎の幅や形を整えるために、歯に直接固定して使用する装置です。取り外し式の床矯正よりも安定性が高く、確実に顎を広げたい場合に用いられます。

2×4
(ツーバイフォー)上下の前歯に4本ずつ、奥歯に2本、合計12本の永久歯にブラケットを装着し、部分的に歯並びを整える治療法です。乳歯が残っている時期に行う「準備矯正」として使用され、歯並びや咬み合わせの基礎を作ります。

フルパッシブ矯正
永久歯がすべて生えそろった中学生以降に行う、本格的な矯正治療です。ワイヤーを「やさしく固定」する特殊な装置を使用し、歯に強い力をかけずに自然な動きを促します。
当院の小児矯正の特徴
一番のメリットは、当院が矯正歯科専門ではなく一般歯科も診療できることです。矯正治療をして保定期間が終わったらさようなら、ではなくてその後もずっと定期検診を続けて、生涯ケアをしていくことができます。むし歯治療も歯周病治療も得意です。もともと私は大学で義歯など補綴を専門に学び、複数の歯科医院で小児歯科や口腔外科、矯正治療の経験を積んできました。地域にある歯科医院として間口を広く、どんな患者さまも受け入れようと考えていたからです。総合的な視点で口内を観察していますので、矯正はこちら、一般歯科はあちら、というふうに歯科医院を分けなくても当院でワンストップでさまざまな治療を受けていただけます。

矯正歯科治療も一般歯科治療もまとめてトータル診療
矯正治療を専門に行う歯科医院の場合、むし歯などが見つかったら他の歯科医院で治療しなければいけないケースがあります。当院は矯正治療以外にも、むし歯・歯周病などの一般歯科治療を含めて幅広い症状をトータルで治療できるため、わざわざ他の歯科医院に通う必要はありません。
矯正治療の前後に起こりやすいむし歯や歯周病の治療も、一貫して担当いたします。
咬み合わせを考慮して
機能面でも満足できる矯正歯科治療矯正治療は、歯並びの見た目をきれいにするだけではありません。咬み合わせのバランスを整えることも大きな目的です。咬み合わせは、人間が生きるために必要な「食べる」という行為を機能的に支える重要なものです。きちんと咬んで食べることができないような咬み合わせでは、食べ物の消化や栄養摂取に問題が起きてしまう可能性があります。
当院では、患者さまのお話を丁寧にヒアリングし、ご希望に沿いながら見た目の美しさと咬み合わせを整える治療に努めています。

痛みを軽減できる
フルパッシブ矯正装置当院の唇側矯正では、「フルパッシブ矯正」を採用しています。フルパッシブ矯正はワイヤーを矯正装置ではさみ込むようにやさしく固定するため、歯の移動にともなうワイヤーと矯正装置の摩擦抵抗が少ないことが特徴です。弱い力で少しずつ歯を移動させることができるため、歯の移動による痛みを極力少なくすることが可能。また、歯は強い力に比べて弱い力を適切に加える方が効率よく動くため、治療期間の短縮も期待できます。

「準備矯正(Ⅰ期)」と「本格矯正(Ⅱ期)」に対応
乳歯・永久歯が混在する時期の準備矯正だけで終わらせず、必要に応じて永久歯が生えそろうⅡ期矯正まで継続してサポートします。見た目だけでなく、最終的な咬み合わせの完成まで視野に入れて治療計画を立てるのが特徴です。
フルパッシブ矯正装置の特徴

歯や歯ぐきにかかる
負担が少ない強く押しつけずに歯を動かす仕組みのため、歯や歯ぐきへの負担を抑えやすいとされています。従来の方法に比べて、歯の根や歯周組織へのダメージが少ないことが期待でき、長期的に安定した歯並びを目指しやすいと考えられています。

弱い力でも効率的に
歯が移動するため、治療期間の短縮が期待できる摩擦が少ないため、強い力をかけなくても歯がスムーズに動きやすいとされています。その結果、歯の動きが効率的になり、治療期間の短縮につながる場合もあると考えられています。

過剰な締めつけがないため
痛みが少ないワイヤーをきつく結ばず、ゆとりを持たせて装置に通す仕組みなので、過剰な締めつけが起こりにくいのが特徴です。そのため、治療中の痛みが少ないと感じる方が多いといわれています。
名古屋市千種区吹上の歯医者
余語歯科 矯正歯科 小児矯正の流れ
- 01
カウンセリング
(無料相談)まずはカウンセリングルームにて、お悩みやご希望を丁寧にヒアリングいたします。その上で、考えられる治療方法や利点・注意点、治療にかかる期間や費用の目安についてご説明します。
内容にご理解・ご納得いただけましたら、次のステップとして精密検査のご予約に進みます。なお、この段階でのご案内はあくまで概算となり、精密検査の結果によって治療内容や条件が一部変更になる場合があります。 - 02
精密検査
精密検査では、口腔内スキャナーを用いてお口の形を立体的に記録し、歯科用CTによるデジタルレントゲン撮影、口腔内写真撮影、各種機能検査などを実施します。
その過程でむし歯や歯周病といった問題が見つかった場合には、まずはそちらの治療を優先し、口腔内の健康状態を整えてから矯正治療を始めていきます。 - 03
治療計画のご提案
カウンセリング内容と検査の結果を踏まえ、最適と考えられる治療計画をご提案いたします。治療方法や期間、費用について十分にご説明し、ご理解・ご同意をいただけましたら、次回から実際の治療をスタートします。
ご納得いただけるまで丁寧にお話ししますので、不安や疑問があればどんな些細なことでも遠慮なくご相談ください。 - 04
治療開始
装置の調整はおおよそ月1回のペースで行います。治療の難易度や歯の動き方には個人差があるため、治療期間は一人ひとり異なります。詳しい期間の目安については、治療計画をご提案する際にご説明いたします。また、舌や唇、頬などの筋肉の使い方に問題がある場合には、必要に応じてMFT(筋機能訓練)も行っています。正しい舌の位置や呼吸・嚥下(えんげ)の習慣を整えることで、矯正後の後戻りを防ぎ、より安定した歯並びづくりをサポートします。
- 05
保定
矯正治療で歯並びが整い、固定装置を外した後は、後戻りを防ぐために取り外し可能な保定装置(リテーナー)を使用します。保定の期間や装着時間には個人差がありますが、おおよそ2年ほどを目安に、少しずつ使用時間を減らして最終的に装置が不要になることを目指します。
保定期間中は、まず1か月後に来院していただき、その後は3か月ごとを目安に定期的なチェックを行い、歯並びや装置の状態を確認していきます。 - 06
メンテナンス・定期検診
矯正治療が終了した後も、むし歯や歯周病を防ぐためには継続的なメンテナンスと定期検診が欠かせません。
一般的な矯正専門医院では、保定期間が終わると通院も終了となるケースが多いですが、当院は一般歯科診療も行っているため、その後もかかりつけ歯科として長く通っていただけます。

名古屋市千種区吹上の歯医者
余語歯科 矯正歯科 院長からのメッセージ
矯正は数年かかる治療で、お子さまにはなかなかつらいこともあるかもしれません。しかし自分の歯のことですので、治療においては歯科医院任せというスタイルではなく、ご本人のやる気と親御さまの協力が非常に大きな要素になります。
そのためお子さまには丁寧にわかりやすくお話しすることを心がけるとともに、親御さまには心配なことがあれば何でもその都度ご相談していただければと思っています。
当院にはキッズスペースや、おむつ交換台のある広いトイレも備えています。ファミリーの皆さまに気軽に通っていただければうれしいです。
FAQ
小児矯正のよくある質問
小児矯正治療の支払い方法について、分割支払いはできますか?
名古屋市千種区吹上の歯医者 余語歯科 矯正歯科では定額制(トータルフィーシステム)を導入しており、半年ごとの分割払いが可能です。金利手数料もかからないため、無理なく通院を続けていただけます。
小児矯正装置が壊れたり無くなった場合はどうなりますか?
装置が破損・紛失した場合は、速やかに当院へご連絡ください。状態に応じて修理や再製作を行います。その際に必要な対応についても丁寧にご説明いたします。
小児矯正をすることで学校や習い事に影響はありますか?
基本的に普段の生活に大きな支障はありません。取り外し式の床矯正は衛生的に使えますし、フルパッシブ矯正は従来の装置より違和感が少なく、学校生活や習い事とも両立しやすいです。
兄弟や家族が一緒に小児矯正治療をする場合、割引制度はありますか?
名古屋市千種区吹上の歯医者 余語歯科 矯正歯科では家族割引制度をご用意しています。兄弟姉妹や親子で治療を始められる際に適用されるため、ご相談時にお気軽におたずねください。
小児矯正治療中にむし歯や歯ぐきのトラブルが起きたらどうなりますか?
名古屋市千種区吹上の歯医者 余語歯科 矯正歯科は矯正治療だけでなく一般歯科診療も行っています。そのため、治療中にむし歯や歯周病が見つかった場合でも、院内でまとめて対応が可能です。