【フルパッシブ矯正症例】下顎左右第二大臼歯の萌出不全を伴う出っ歯の改善
▼目次
今回は、14歳の患者さんの「出っ歯(上顎前突)」と「奥歯の萌出不全」を伴う、一見簡単そうに見えるけれども難易度の高めな矯正治療のプロセスを詳しく解説します。
1. 患者さんのご紹介(主訴・お悩み)
今回の患者さんは、以前より当院にメンテナンス等で通院されていた14歳1か月の女性です。
主訴:出っ歯が気になる お悩み:前歯の突出感に加え、咬み合わせの深さによる不快感を抱えていらっしゃいました。
14歳という年齢は、永久歯列が完成し、顎の成長発育を利用しながらも、大人の矯正(成人矯正)と同様に精密なコントロールが必要になる重要な時期です。
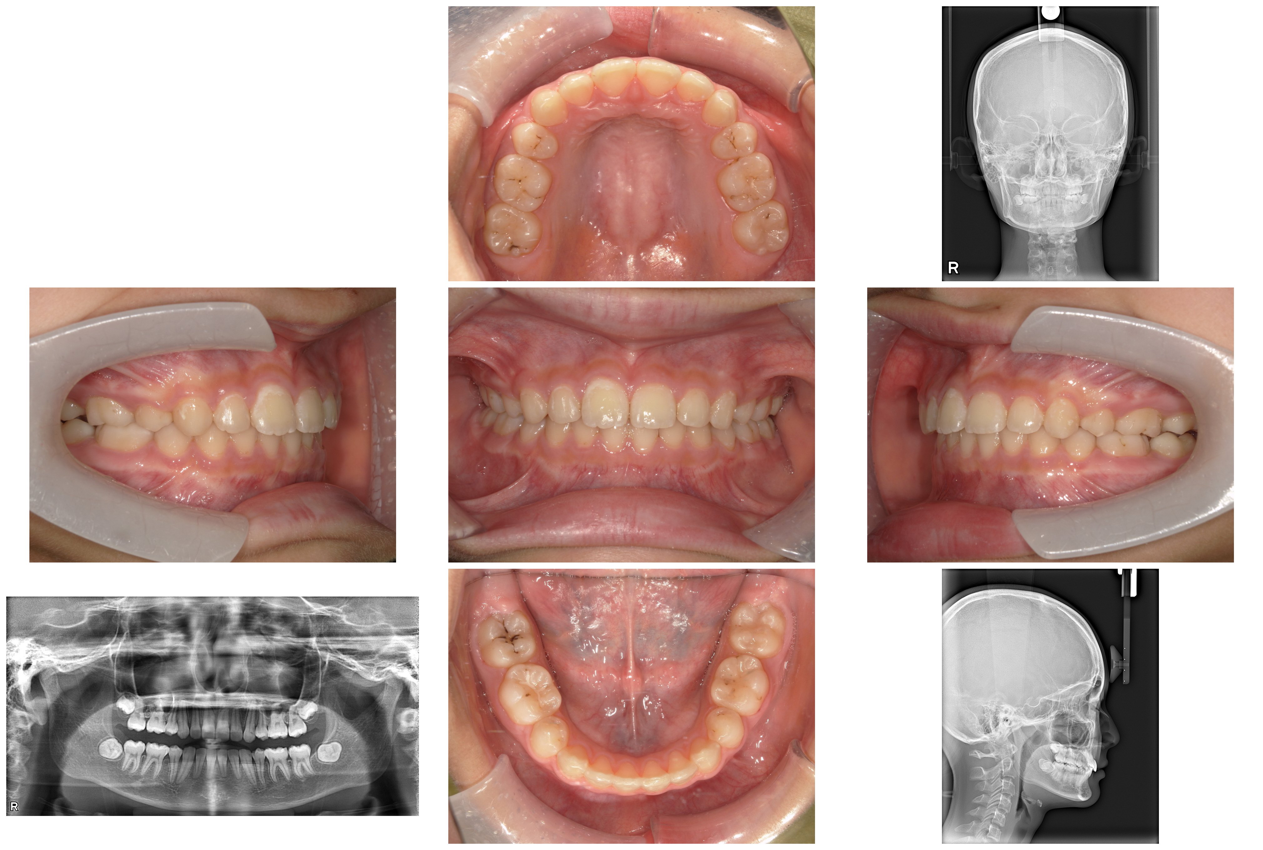
2. ご来院時の状態と診断
精密検査の結果、単なる「前歯の傾き」だけではない、骨格や奥歯の生え方に由来する複雑な要因が明らかになりました。
【検査結果の詳細】
軟組織:横顔を確認すると、口元が前に出て見える「凸型の横顔」でした。
骨格:上あごに比べて下あごが後ろに位置している骨格で、いわゆる出っ歯になりやすい骨格のタイプでした。また、咬む力が強く、顔の縦の長さがやや短い傾向がある骨格の特徴もみられました。
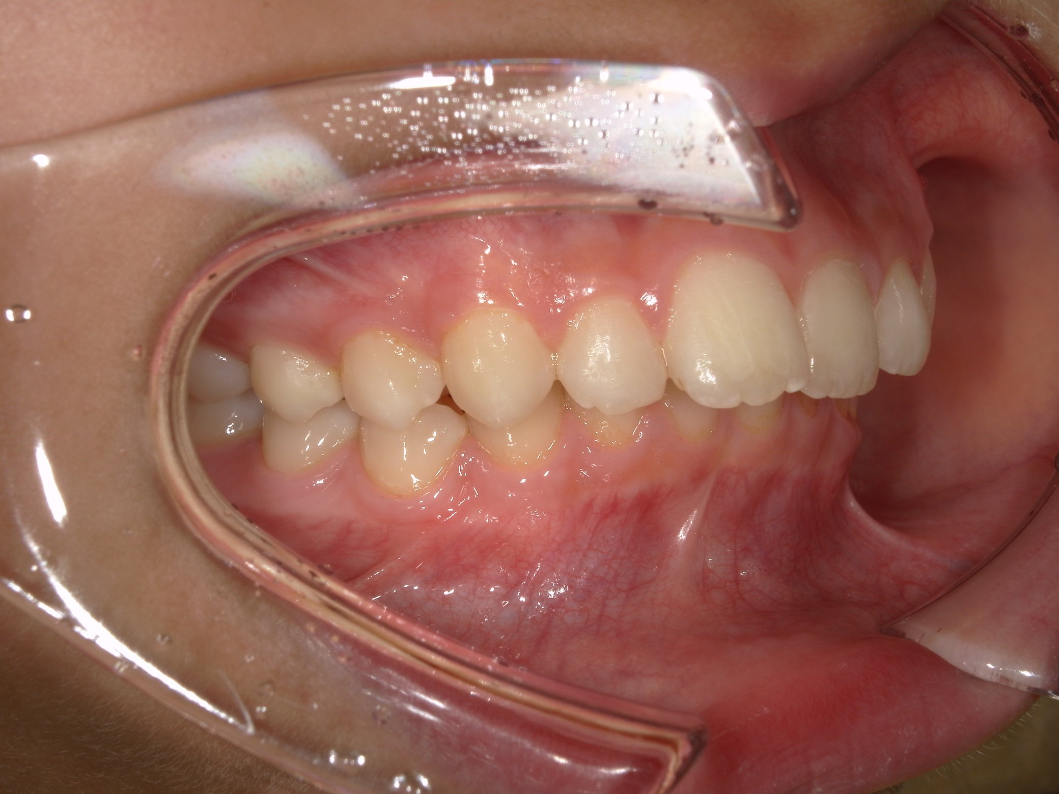
歯系: 前歯の前後的な差が著しく大きい「著大なオーバージェット」と、下の前歯が上の前歯に深く隠れてしまう「過蓋咬合(かがいこうごう)」が認められました。
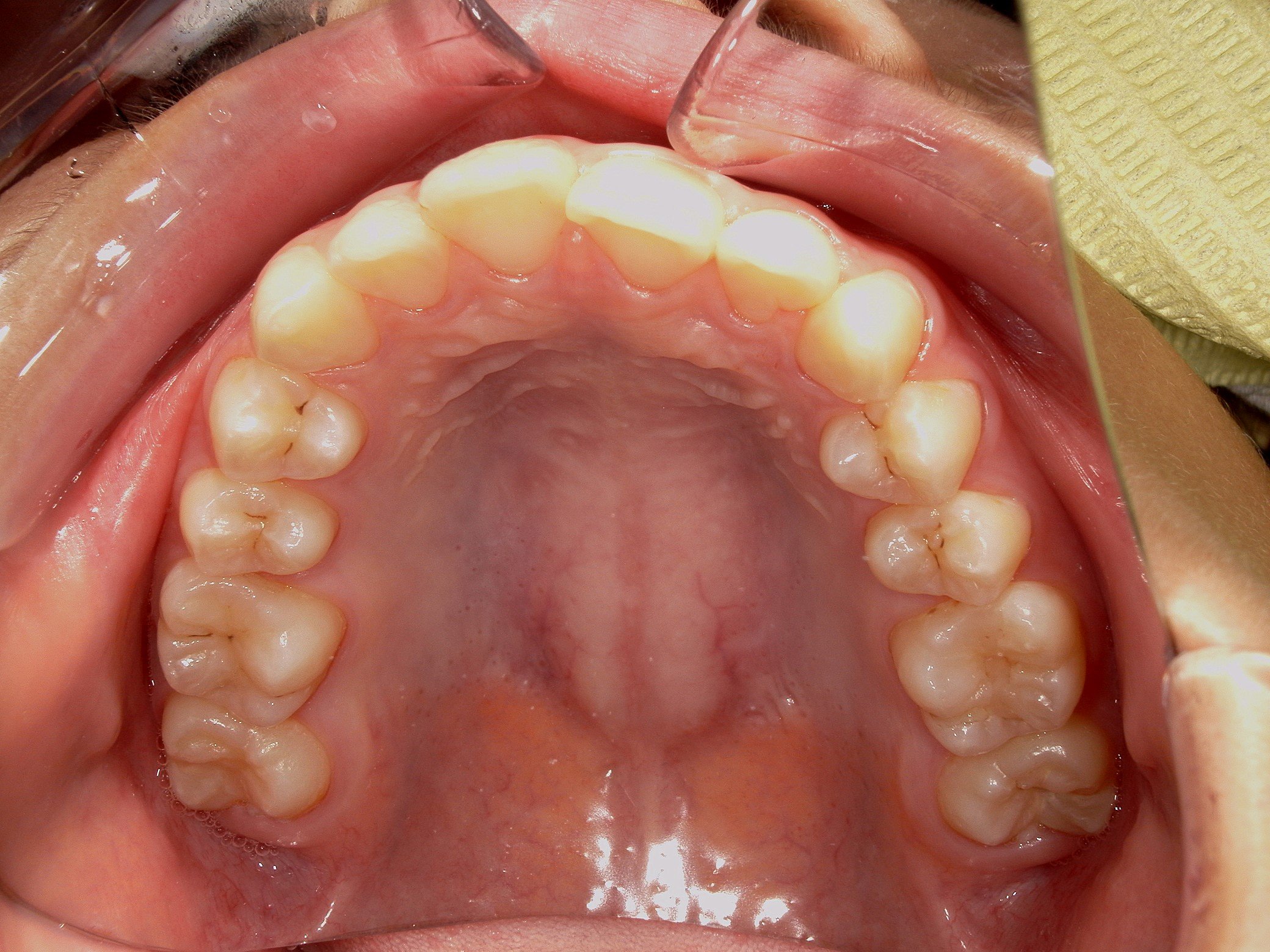
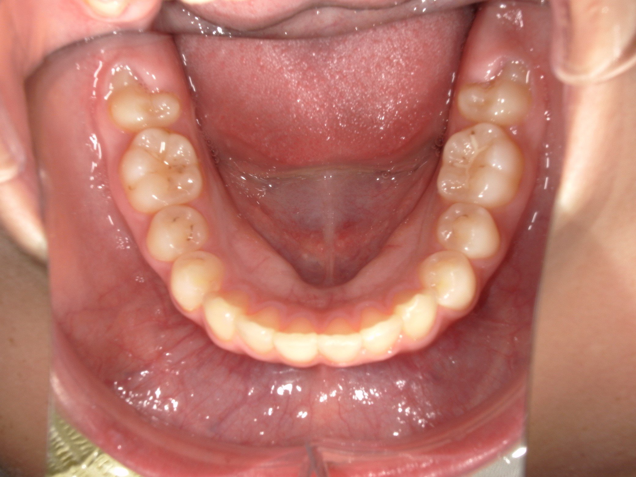
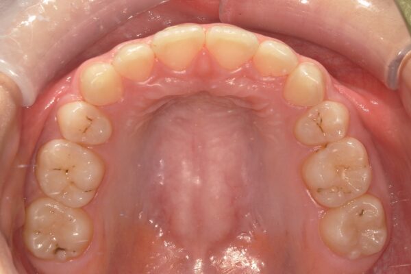
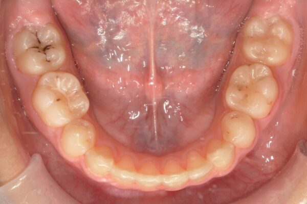
大きな問題点: 本来なら生えきっているはずの下顎左右の第二大臼歯(一番奥の7番目の歯)が、萌出時期を過ぎても歯ぐきに埋まったままの「半萌出状態」となっていました。




上下の歯を咬み合わせたときに、上の前歯が下の前歯を深く覆いすぎてしまっている状態。放置すると下の前歯が上の歯ぐきを傷つけたり、将来的な顎関節症のリスクを高めたりすることがあります。
3. 治療計画
今回の症例は、一見すると歯のガタガタ(叢生)が少ないため、比較的簡単なケースのように見えるかもしれません。しかし実際には、矯正治療の経験があるほど難しさを感じやすい症例です。なぜなら、「ガタガタがない=抜歯して作ったスペースを前歯を後退させつつ、すべて計画通りに空隙を閉鎖する必要がある」ため、歯の移動量が大きくなるからです。移動量が多いほど、治療期間の長期化や、治療計画以上に奥歯が前に寄ってしまうリスクが高まります。
そこで、当院では以下の戦略を立てました。
①アンカースクリューの活用
上顎両側臼歯部に矯正用の小さなネジ(アンカースクリュー)を埋入し、奥歯を動かさずに前歯を後ろに下げるための強力な固定源としました。
②独自の抜歯・保存戦略
上顎は左右の4番、下顎は左右の5番を抜歯する計画としました。
③総合歯科ならではの処置
下顎の抜歯予定歯(5番)に対して、あえて事前に根管治療(神経の処置)を行い、治療の「途中の最適なタイミング」で抜歯する特殊なプロセスを採用しました。
【当院の強み:一般歯科と矯正のシームレスな連携】
一般的に、矯正治療で抜歯が必要な場合は外部の歯医者へ依頼することが多いですが、当院では矯正治療に加えて一般歯科治療(根管治療など)にも対応しています。そのため、矯正治療に適したタイミングを歯科医師が判断し、院内で抜歯まで一貫して行うことができます。この「治療の引き出しの多さ」が、難症例でもスムーズに完結できる理由です。
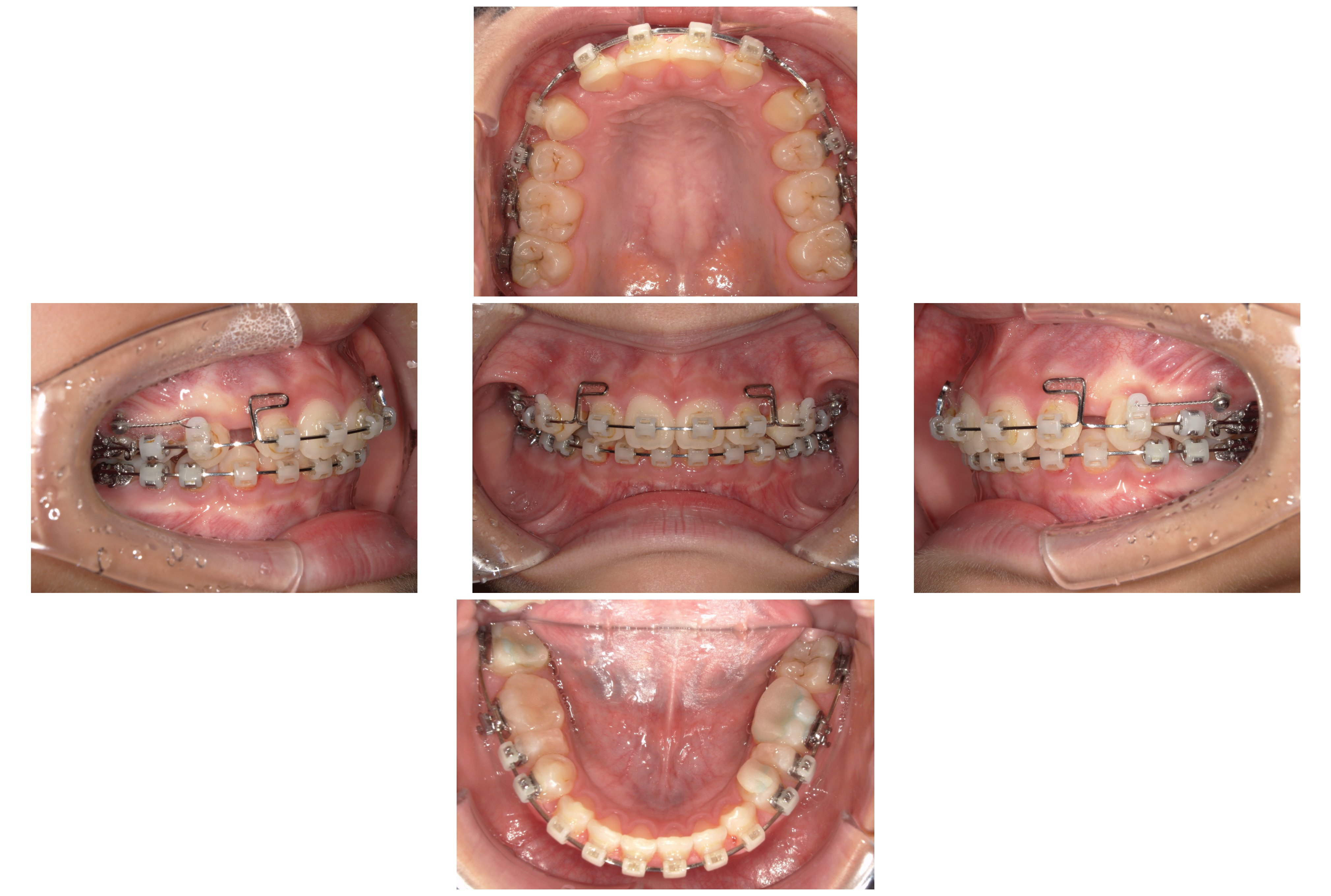
4. 治療の経過
①装置装着~4か月後:咬み合わせの土台作り
まずは犬歯を後ろへ移動させるとともに、深い咬み合わせ(過蓋咬合)を改善するため、下顎にワイヤーを2本用いる手法で、前歯を押し下げて咬み合わせを浅くすることで咬合挙上(こうごうきょじょう)を図りました。

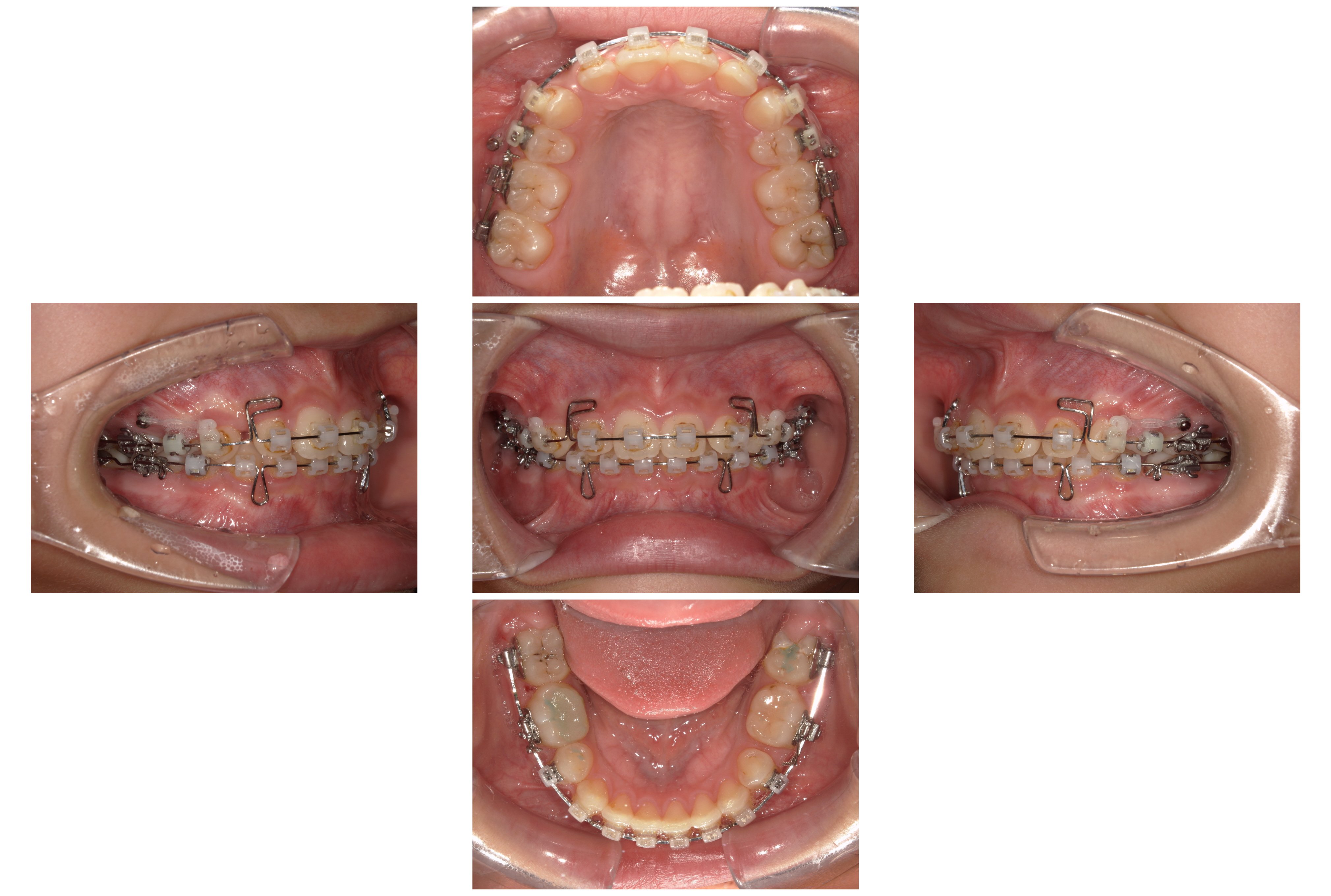
②装置装着8か月後:レジンマウントによる挙上
さらに下顎の奥歯に「レジンマウント(プラスチックの盛り物)」を装着し、咬み合わせの高さ(咬合高径)を強制的に確保しました。これにより、歯が動く際の邪魔な干渉を取り除きます。

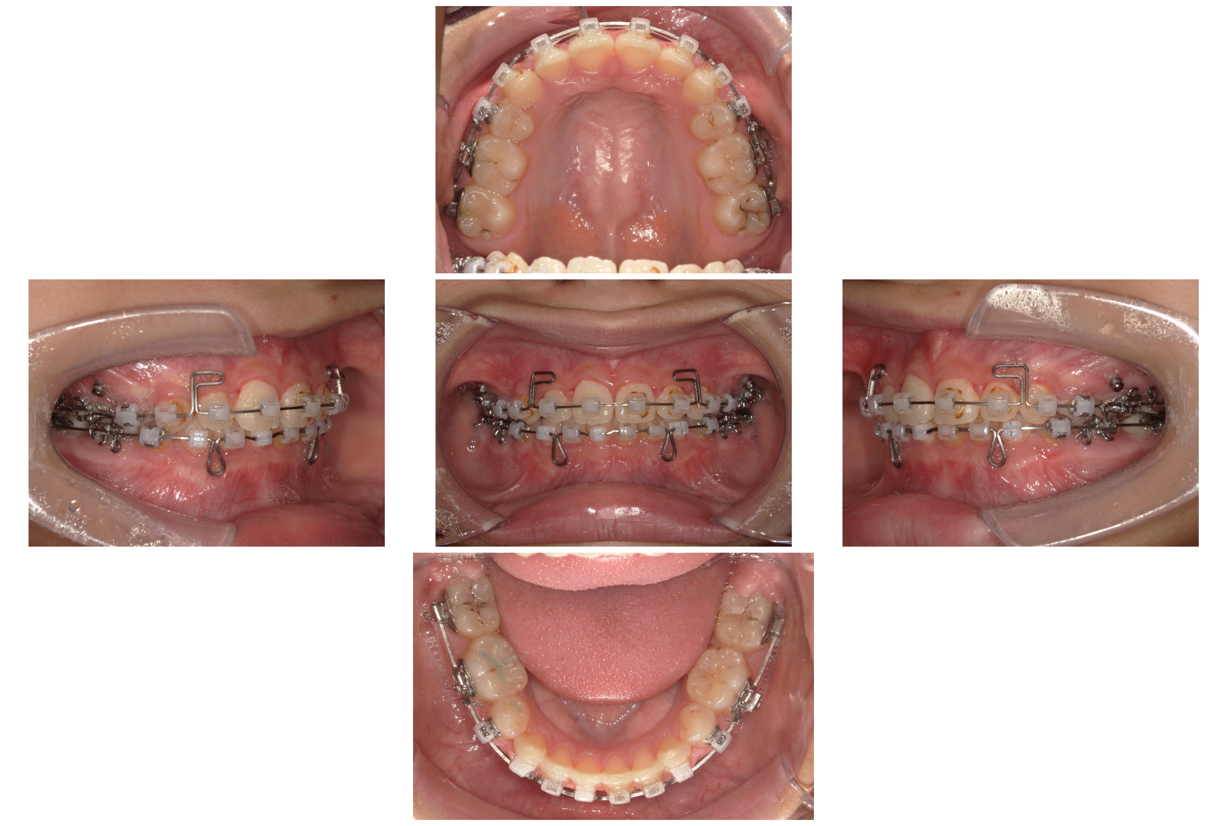
③装置装着1年1か月後:こだわりのタイミングでの抜歯
この段階で、事前に根管治療を終えていた下顎左右の5番を抜歯しました。 一般的な矯正では治療開始前に抜歯しますが、本症例では「先に噛み合わせの高さを改善することを優先した」ため、あえてこの時期に抜歯を行いました。
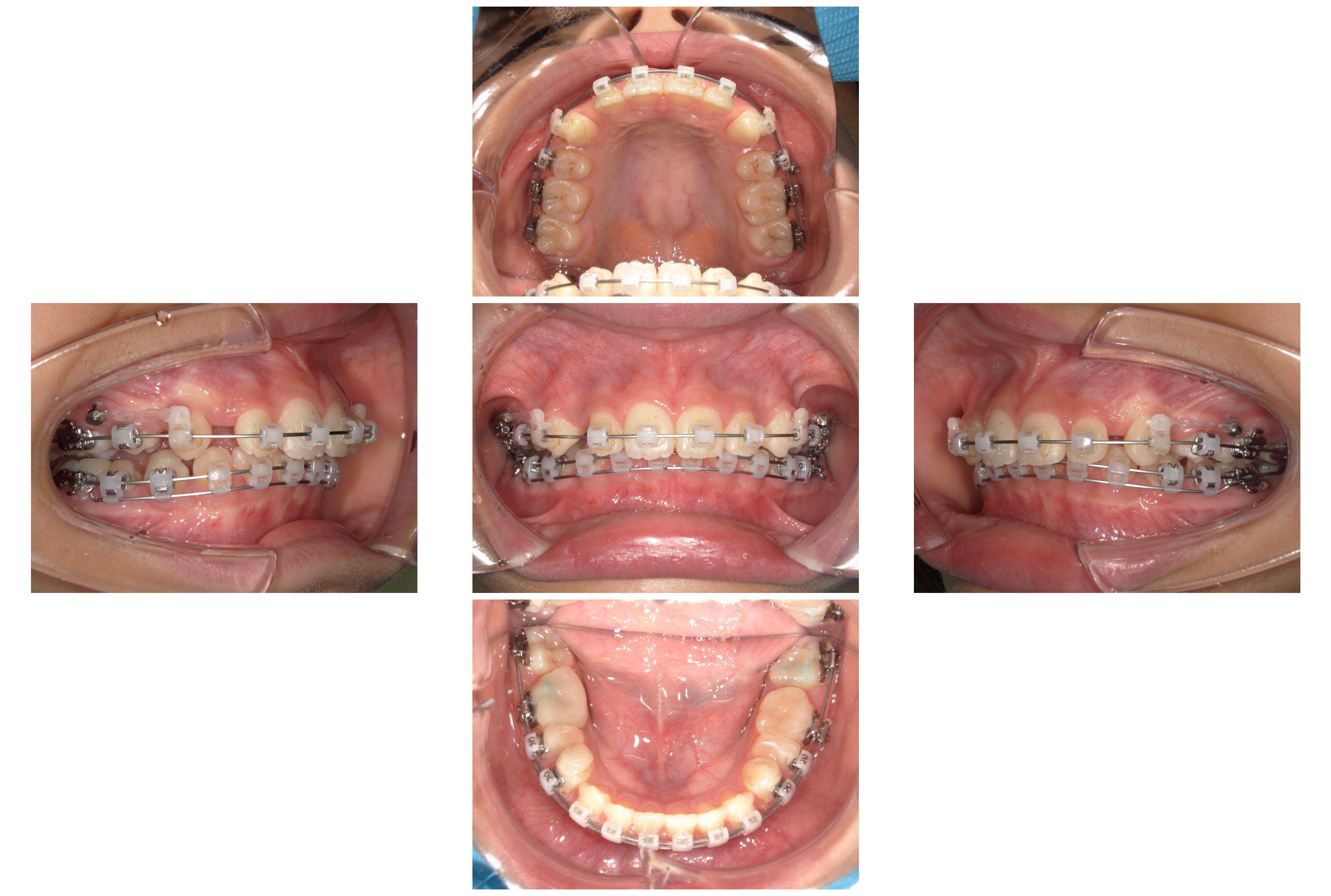
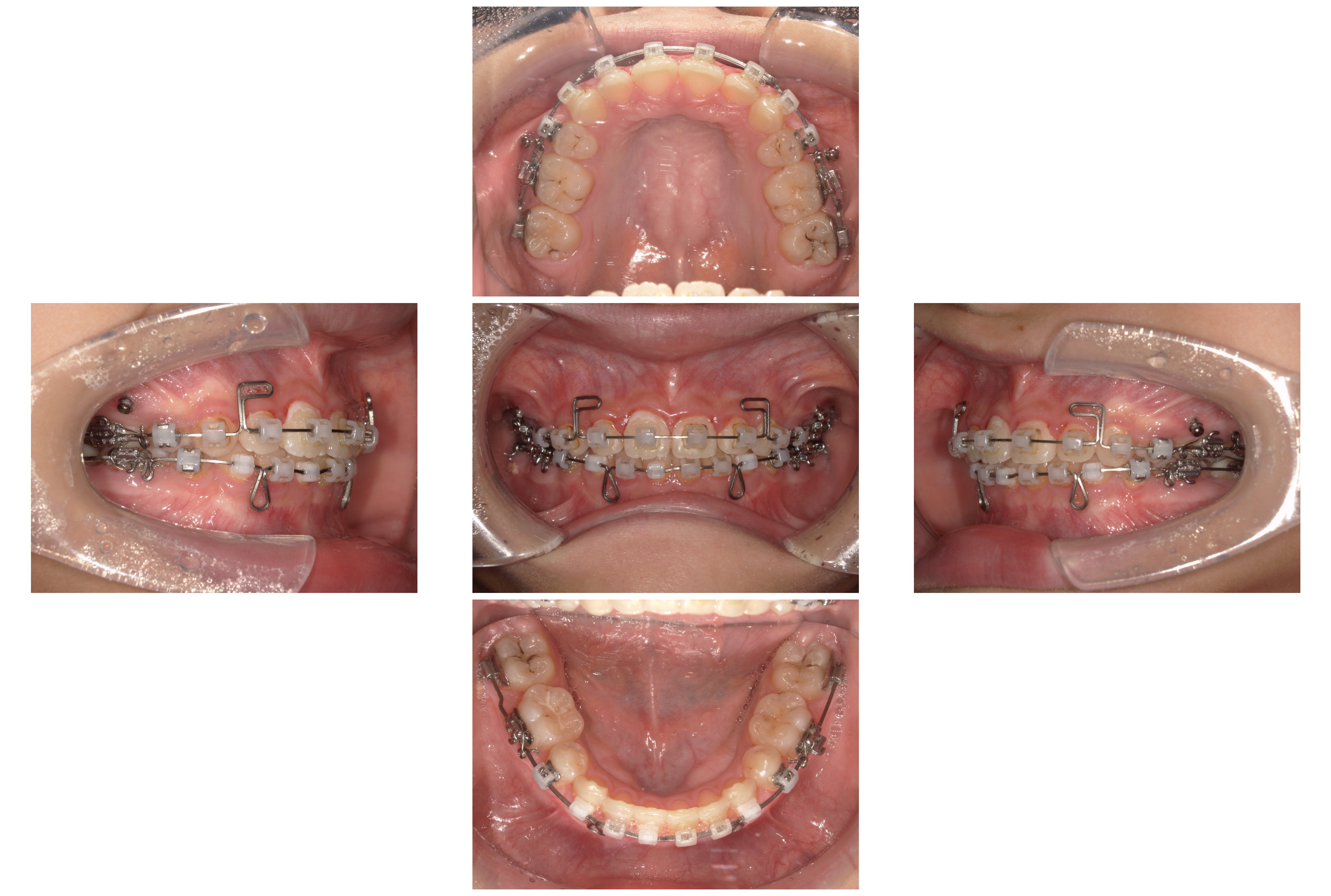
④装置装着1年6か月後:スペース閉鎖とエラスティック
「ループメカニクス」というワイヤーの形状を利用して、抜歯したスペースを閉じていきました。この際、患者さんに「エラスティック(矯正用ゴム)」を併用していただくことで、上下の奥歯を理想的な位置関係(Ⅱ級関係の改善)へと導きました。
5. 治療後・予後
⑤装置除去(1年9か月後)
当初、歯の移動量が多いことから2年前後の期間を予定していましたが、結果として1年9か月という、予定よりも早い期間で装置を外すことができました。
【治療結果】
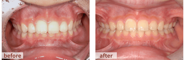
・著大だったオーバージェット(前歯の突出)が完全に解消され、良好な被蓋関係(咬み合わせ)を獲得しました。
・突出していた口元が下がり、バランスの取れた良好な側貌(横顔)が得られました。
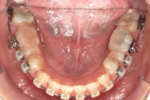
・スペース不足で生えてこなかった下顎の7番も、正常な位置へと誘導することができました。



【治療を振り返って】
本症例のように、ガタガタが少ない上顎前突は「抜歯スペースの閉鎖=すべて歯の移動」となるため、通常は治療期間が長引く傾向にあります。 今回、予定より早く良好な結果を得られたのは、患者さんがエラスティック(ゴム)の使用を熱心に協力してくださったことはもちろん、摩擦の少ない「フルパッシブ矯正」による動きの迅速さが大きく影響していると考えています。
装置とワイヤーの間の摩擦(抵抗)を極限まで減らす矯正システムのこと。歯に優しい弱い力で、従来よりも効率的かつスピーディーに歯を動かすことが可能です。
【矯正治療をお考えの方へ】
「自分の出っ歯は治るのか?」「どれくらい期間がかかるのか?」と不安に思われる方は多いはずです。当院では、矯正の専門知識と一般歯科の技術を組み合わせ、一人ひとりの患者さんに最適な「オーダーメイドの治療計画」を立案します。 まずは無料カウンセリングで、あなたのお悩みをお聞かせください。
【本症例の治療概要】


術名: 抜歯を伴う矯正治療
年齢・性別: 14歳1か月(装着時)・女性
治療内容: 上顎左右4番・下顎左右5番抜歯、上顎両側アンカースクリュー、マルチブラケット装置
治療期間: 1年9か月 費用: 88万円(税込)
リスク・副作用: 歯根吸収、カリエス(虫歯)、装置による不快感、保定装置(リテーナー)の使用不足による後戻りなど
▼2023年1月 
▼2023年4月 
▼2023年8月 
▼2023年12月 
▼2024年5月 
▼2024年10月 
▼2024年11月 
▼2025年2月 
監修 余語歯科 矯正歯科 院長 余語良章
2001年 千種小学校 卒
2004年 今池中学校 卒
2007年 東海高等学校 卒
2013年 東京医科歯科大学歯学部 卒
2014年 愛知学院大学歯学部附属病院研修医 修了
2014年 東京医科歯科大学部分床義歯補綴学分野 入局
2014年 高円寺オズ歯科室 勤務 補綴、歯周病を中心に一般歯科全般を学ぶ
2016年 クローヴァ歯科クリニック 勤務 小児歯科認定専門医のもと小児治療を学ぶ
2017年 アップル歯列矯正歯科 勤務 舌側矯正認定医のもと舌側矯正を中心に矯正を学ぶ
2019年 田村矯正歯科 常勤 矯正器具開発なども行う臨床指導医のもと矯正について詳細に学ぶ
2022年1月 余語歯科 勤務
2023年11月 余語歯科 矯正歯科 移転開業、院長就任